Research Article | DOI: https://doi.org/10.31579/2834-5177/001
Relevant Article, White Papers and Other Documents Concerning The m RNA VACCINE: An Interesting Collection Useful to Better Understand some Phenomena and to Generate Hypotesys
- Luisetto M Ima 1
- Naseer Almukthar 2
- Edbey K 3
- Tarro G 4
- Nili B. Ahmadabadi 5
- Cabianca L. Mashori Gulam Rasool 6
- Gadama G Prince 7
- Oleg Yurevich Latyshev 8*
1 Luisetto M Ima Marijnskaya academy Professorship Toxicology and pharmacology Natural science branch italy.
2 Professor physiology Babylon University Iraq.
3 Professor, Department of Chemistry, Libya Physical Chemistry, University of Benghazi, Libya
4 President of the T & L de Beaumont Bonelli Foundation for Cancer Research, Naples Italy
5 Medicinal chemist, Nano Drug Delivery, (a Product Development Firm), United States, Curriculum studiorum in Turin university
6 Professor, Department of Medical & Health Sciences for Woman, institute of pharmaceutical science, Peoples University of Medical and Health Sciences for Women, Pakistan
7 Chair CYPRESS university Malawi
8 IMA academy Marijnskaya President RU.
*Corresponding Author: Oleg Yurevich Latyshev, IMA academy Marijnskaya President RU.
Citation: Luisetto M Ima, Naseer Almukthar, Edbey K, Tarro G, Nili B. Ahmadabadi. et all. (2022). Relevant Article, White Papers and Other Documents Concerning The m RNA VACCINE: An Interesting Collection Useful to Better Understand some Phenomena and to Generate Hypotesys. International Journal of Clinical Infectious Diseases, 1(1) DOI:10.31579/2834-5177/001
Copyright: © 2022 Oleg Yurevich Latyshev, This is an open access article distributed under the Creative Commons Attribution License, which permits unrestricted use, distribution, and reproduction in any medium, provided the original work is properly cited.
Received: 06 September 2022 | Accepted: 15 September 2022 | Published: 20 September 2022
Keywords: coronary artery disease; dyslipidemia; hypertension; stroke
Abstract
Aim of this work is to report some inetersting reference and document related m RNA vaccine. Every cited reference can act as an instrument to better understand what some independent researcher finded : this work is mainly focused ont the public debate related presence / absence of graphene derivates in some vaccine vials for covid-19. Relevant classic article or White paper or other kind of document are useful instrument to better clarify Some crucial aspects of this infectious disease, its epidemiology and efficacy of the measure adopted (preventive, therapeutic or vaccine). If the reviewed article show an intrinsic recognized international value other kind of source like White Paper or other document can be of interest to generate hypotesys or to open public discussion on crucial topics .
For this reason it is useful to use this method also in the discussion related of impurity profile in new innovative bio-pharmaceuticals like the m RNA vaccine.
The fact that this products was introduced with an emergency authorization , whit reduced time of sperimentation and due by lack of official quality informations related some raw materials used authorize us to use also this method.
Even if the international official regulatory agency not finded this substantie in the control for release the lots it is interesting to more deeply investigate on what finded by independent researcher in some vials of vaccine or in sample patients blood after vaccination.
This reference even if not are a smoking gun the same can stimulate the reasoning about the general concept involved .
It is needed ,reading this work ,to consider the intrinsic limitation of some of the study research reported (white paper ) or the other documents.
Introduction
According article
British Journal of Healthcare and Medical Research - Vol.9, No.4 August, 25,2022
DOI:10.14738/jbemi.94.12938. Tarro, G. (2022). Environment and Virus Interactions: Towards a Systematic Therapy of SARS-CoV-2. British Journal of Healthcare and Medical Research, 9(4). 253-260 “On March 2002 a severe acute respiratory syndrome (SARS) appaired in Hong Kong.It was caused by a coronavirus, named the SARS-CoV1. A new dangerous disease has gone global in the 2012, named the SARS of the Middle East MERS), also in this case caused by another corona-virus”. But due by other Coronavirus sars-cov-2 and the measure adopted the epidemiological situation was very diffferent.Of great interest to observe the epidemiology and diffusion of cases in preseance of measure or without (on peack and in delay ):
But what happened in dec 2019 with Sars -cov-2 COVID-19 was very impressive not only for the number of death, the rapid diffusion, but also for the public international health measure adopted involving milion of persons. (OMS, governement, FDA, EMA)
Airborne diffusivity of the virus or not, masks use or not, lock-down politics, social disatancing, whashing hand procedure and the right use of disinfectants are only few problems.
Why was recongized the airborne properties of the last variants and not for the Wu- han original virus?
Interesting to see what written in article published in may 2020. “Covid-19 and other coronavirus: airborne indoor and outdoor transmission? state of evidence int. J. Current Research, 12, (05), 11652-11663. International guidelines of WHO reported in example to open the window before meeting in closing environment. (march 2020)
And what kind of masks was suggested? Surgical masks or FFP2 ? and what efficiency if airborne virus ?
The same what part of danger was performed by air pollution to increase mortality rate of covid-19 patients?
What kind of contribution to global amount of death was due by polipatology in elderly patient politrated whit multiple drugs instead by the virus itself?
Great confusion in the first periods was related the therapeutic measure : idxroxiclorochin or not,
heparin use to prevent clots , anivirals like Remdesivir and its efficacy, monoclonal activiry vs variants and other problems .
According the article :
Int J Antimicrob Agents. 2020 Jul; 56(1): 105949. 2020 Mar 20. doi: 10.1016/j.ijantimicag.2020.105949
Hydroxy-chloroquine and azithromycin as a treatment of COVID-19: results of an open-label non-randomized clinical trial
Philippe Gautret,Jean-Christophe Lagier, P. Parola, Van Thuan Hoang, Line Meddeb, Morgane Mailhe, Barbara Doudier, Johan Courjon, V. Giordanengo, Vera E. Vieira, Hervé Tissot Dupont, Stéphane Honoré, j Philippe Colson,Eric Chabrière, Bernard La Scola,Jean-Marc Rolain, Philippe Brouqui, and Didier Raoult
“Chloroquine and hydroxy-chloroquine have been found to be efficient on SARS-CoV-2, and reported to be efficient in Chinese COV-19 patients.”
But various studies evaluated then the safety and efficacy of this solution, and even if not more racomended by international guideline this choice introduce the debatte on anti-inflamatory drugs in the early stage of the disease.
RESEARCH PAPER| VOLUME 37, JULY, 2021
A simple, home-therapy algorithm to prevent hospitalisation for COVID-19 patients: A retrospective observational matched-cohort study Fredy Suter, Elena Consolaro, Stefania Pedroni ,C. Moroni ,Elena Pastò Maria Vittoria Paganini Grazia Pravettoni, U. Cantarelli ,Nadia Rubis, N. Perico , Annalisa Perna, T. Peracchi .Piero Ruggenenti Giuseppe Remuzzi June 09, 2021DOI:https://doi.org/10.1016/j.eclinm.2021.100941 “In the ‘recommended’ cohort, 66 of 90 patients were given a relatively selective COX-2 inhibitor (nimesulide or celecoxib) . 20 patients received other NSAIDs, including aspirin (n = 7). Thirteen patients were prescribed ibuprofen or indomethacin or acetaminophen (paracetamol), bringing non-adherence to the recommended anti-inflammatory regimen to 14.4% in the cohort. On the other hand, in the ‘control’ cohort, none of the patients received relatively selective COX-2 inhibitors and only 1 was given aspirin ASA. In this cohort, most patients were treated with paracetamol (n = 45), and the remaining with ketoprofen or ibuprofen. 30% of patients in the ‘recommended’ cohort and 9.2% in the ‘control’ cohort were given corticosteroids (p = 0.001)” And “ we found that a few simple treatments, as reported in the proposed recommendation algorithm, show benefits amongst out-patients in the early phase of COVID-19 disease.” The same new variant expresses different response to the various kinds of MABS. Paxlovid and molnupiravir was introduced in last periods. Great debate was related the possibility to select new resistent variant using some MABS.
Also relate vaccine production great innovation was introduced ( m RNA VACCINE, viral vector, proteic Inactivated et other ) : but what model is the best ? what technology produce less or more probems? In example to store vaccine at -80 centigrades can be a logistic problem for the non adavanced countries like Africa.
Other problem was the need to receive 3-4 injection by year of vaccine to have a efficient cover immunity (study are ongoing to verify this aspect ) and the played effect on the human immune systems of this multiple injections.
The same related the m RNA VACCINE : how real long is the trasduction- production of the spike protein ? and are there effect related genetic insert in human genoma of the modified m RNA used? This new vaccine was tested for the time needed ( years ) for cancerogenicity? Form COMIRNATY (COVID-19 mRNA VACCINE) RISK MANAGEMENT PLAN RMP Version number: 5.0
Feb 2022
“Two GLP-compliant repeat-dose toxicity studies were performed in Wistar Han rats; one with each variant. Both studies were 17 days in duration with a 3-week recovery period. A DART study in Wistar Han rats has been completed. Safety pharmacology, genotoxicity and carcinogenicity studies have not been conducted, in accordance with the 2005 WHO vaccine
guideline” Due by some rare but severe ADR (thrombosys, pericarditis) during last year since introduction in the market some covid-19 vaccine was limited to subpopulation, other vaccine updated their techincal sheet introducting new controindiction or ADR possibility. There was some recall in japan due by metal impurity and some other lots recalled also in italy for a determinate lot of a viral vector covid-19 vaccine.
Thombosys and pericarditys problem was related to the SPIKE PROTEIN and its toxicity ( procoagulant, pro-inflamatory ).
In article: Cureus. 2022 Jan 13;14(1): e21207. doi: 10.7759/cureus.21207. eCollection 2022 Jan.
A Case of Acute Viral Pericarditis Complicated With Pericardial Effusion Induced by Third Dose of COVID Vaccination
Hany A Zaki 1, Adel Zahran 2, Mohammed Abdelrahim 3, Wael Abdelrehem Elnabawy 3, Yasser Kaber 2
It was reported :
“pericarditis is reported to occur in rare instances of COVID-19 infection, and this may be attributed to the pro-inflammatory effects of the spike protein”
But also it was supposed due by the possibility of impurity presence (graphene derivates).
Review Part Fibre Toxicol. 2016 Oct 31;13(1):57. doi: 10.1186/s12989-016-0168-y.
Toxicity of graphene-family nanoparticles: a general review of the origins and mechanisms Lingling Ou , Bin Song , H. Liang , Jia Liu , Xiaoli Feng , Bin Deng , Ting Sun , Longquan Shao DOI: 10.1186/s12989-016-0168-y
“Due to their unique physico-chemical properties, graphene-family nanomaterials (GFNs) are widely used in many fields, especially in bio medical applications. Many studies have investigated the biocompatibility and toxicity of GFNs in vivo and in intro.
Generally, GFNs may exert different degrees of toxicity in animals or cell models by following with different administration routes and penetrating through the physiological barriers, subsequently being distributed in tissues or located in cells, eventually being excreted out of the bodies. This review collects studies on the toxic effects of GFNs in several organs and cell -models. We also point out that various factors determine the toxicity of GFNs including the lateral size, surface structure, functionalization, charge, impurities, aggregations, and corona effect ect.Several typical mechanisms underlying GFN toxicity have been revealed, for instance, physical destruction, oxidative stress, DNA damage, inflammatory response, apoptosis, autophagy, and necrosis. In these kind of mechanisms, (toll-like receptors-) TLR-, transforming growth factor β- (TGF-β-) and tumor necrosis factor-alpha (TNF-α) dependent-pathways are involved in the signalling pathway network, and oxidative- stress plays a crucial role in these pathways”
Sci Total Environ. 2019 Jul 10;673:810-820. doi: 10.1016/j.scitotenv.2019.04.082. Epub 2019 Apr 8.
Graphene oxide induces cardiovascular defects in developing zebrafish (Danio rerio) embryo model: In-vivo toxicity assessment
Manjunatha Bangeppagari , Sung Ho Park , R. R Kundapur , Sang Joon Lee
DOI: 10.1016/j.scitotenv.2019.04.082
“Graphene oxide has wide engineering applications in various areas, including electronics, energy storage, pharmaceuticals, nanomedicine, environmental remediation and biotechnology, because of its unique physico-chemical properties. In the present work, the risk-related information of GO was evaluated to examine the potential ecological and health risks of developmental toxicity. Although the overall developmental toxicity of GO has been well characterized in zebrafish, however, its release effect at a certain concentration of living organisms with specific cardio vascular defects remains widely elusive.
Therefore, this study was conducted to further evaluate the toxicity of GO on embryonic development and cardio vascular defects in zebrafish embryos used as an in-vivo animal model. As a result, the presence of GO at a small concentration (0.1-0.3 mg/mL) does not affect the embryonic development. GO at higher concentrations (0.4-1 mg/mL) induces significant embryonic mortality, increase the heart- beat, delayed hatching, cardiotoxicity, cardiovascular defects, retardation of cardiac looping, increased apoptosis and decreased hemoglobinization”.
Medicina (Kaunas). 2021 Nov; 57(11): 1163. 2021 Oct 26. doi: 10.3390/medicina57111163
Vaccine-Associated Thrombocytopenia and Thrombosis: Venous Endotheliopathy Leading to Venous Combined Micro-Macrothrombosis
Jae C. Chang, and H. Bradford Hawley Thomas Kühne, Academic Editor
“Complement activation plays the key role in vaccine-induced endothelio-pathy, contributing to the endothelial molecular pathogenesis. Certain adjuvants and surfactants conjugated with vaccines trigger complement activation and causes injury to the endothelium, especially if an individual is mild to moderately deficient in ADAMTS13, which may promote venous endothelio pathy. In both COVID-19 sepsis and vaccination, the ligand spike (S) protein from SARS-CoV-2 has been thought to interact with the ACE2 receptor on the endothelial- cells (ECs) of the host and activate complement system and produce C5b-9 complex, which can lead to endotheliopathy. It promotes both inflammation and micro-thrombogenesis by releasing inflammatory- cytokines and ULVWF multimers, as seen in sepsis. The adjuvants and surfactants polyethylene glycol and polysorbate 80, and graphene oxide GO sometimes used in vaccines are known to trigger complement activation. These chemicals turn on the complement when they are attached to molecules, especially lipids. The size of the adenovirus delivered lipid coated particle is larger than the mRNA lipid coated particle, which may more likely lead to complement activation.”
The toxic profile of SPIKE PROTEIN is clear reported by many literature on Pub med and the same the multiple use of graphene derivates in biotechology (carrier, adiuvants, extractive agent to purify RNA and other properies).
Why big pharma choosed a real toxic protein to produce vaccine? because it is great expressed on virus surface? because it was more simply to use?
See the pathological property of spike protein in covid -19 disease: it is due by the virus in toto or to the spike protein only? See also images of in-vitro reaction of spike whit PTL and RBC.
The same see what happen to RBC when in vitro treated wiht graphene derivates.
And what could be happen in VITT if SPIKE PROTEIN it is added with graphene ( in vitro ).
The research in this field finded many problems related the CLIMA around this new misterious pathology.
Why physician discovered that the use of heparin can prevent clots only after month form the first diffusion of this patology ?
If we study a texbook of INTERNAL MEDICINE of 1990-2000 the use of heparin to prevent clots in ICU was a CLASSIC argument : NOT A STRANGE THERAPY.
According a reseach started in feb 2020:
Clinical Trial Thromb Haemost. 2021 Aug doi: 10.1055/a-1347-6070.
Heparin in COVID-19 Patients Is Associated with Reduced In-Hospital Mortality: The Multicenter Italian CORIST Study
By Augusto Di Castelnuovo et al
“ A hyper-coagulable condition was described in patients with coronavirus disease 2019 and proposed as a possible pathogenic mechanism contributing to disease progression and lethality. We evaluated if in-hospital administration of heparin improved survival in a large cohort of Italian COVID-19 patients.
In a retrospective- observational study, 2,574 unselected patients hospitalized in 30 clinical centers in Italy from Feb. 19, 2020 to Jun. 5, 2020 with laboratory-confirmed sars cov-2 infection were analyzed. The primary endpoint in a time-to event analysis was in-hospital death, comparing patients who received heparin (low-molecular-weight heparin [L.M.W.H.] or unfractionated heparin [U.F.H.]) with patients who did not. We used multi-variable Cox proportional-hazards regression models with inverse probability for treatment weighting by propensity scores.
Out of 2,574 COVID-19 patients, 70.1% received heparin. L.M.W.H. was largely the most used formulation (99.5%). Death rates for patients receiving heparin or not were 7.4 and 14.0 per 1,000 person-days, respectively. After adjustment for propensity scores, we found a 40% lower risk of death in patients receiving heparin (hazard ratio = 0.60; 95% confidence interval: 0.49-0.74; E-value = 2.04). This association was particularly evident in patients with a higher severity of the disease or strong coagulation activation.
In-hospital heparin treatment was associated with a lower -mortality, particularly in severely ill COVID-19 patients and in those with a strong coagulation- activation. The results from randomized clinical trials are eagerly awaited to provide clear-cut recommendations.”
The same the use or not of F.A.N.S. was under various perpesctive and only recent evaluated by reseach study. ( it is a viral pathology or an inflamatory disease ? the problem is the virus or the immune aspecific reaction of our body ? and what relevance have the early stage therapy ?
Before to start this work it is crucial to clarify that during the covid-19 PANDEMIA various
Wrong concepts was deeply diffuse : this pathology waws considered as like a new kind of PESTE NERA of our century and because a new infectious disease never seen by phisicians a sort of detachement from reality happened: also great helthcare professional was involved.
For many month publich healtcarfe system was blinded, paralized, and without solution.
It was needed various time for recognizing that great problems was due by the iperinflamatory
Reaction post-infection. The autopsies was stopped to avoid diffusion of the virus so many time occured to verify that in many severe cases clots whee present (pulmonary et other). Many drugs was used in this phases (2020) and acting in example to reduce inflamantion Idroxiclorochin and other, only after various month was introduced heparin, and only in recent time was recongnized the effect of antiflamatory drugs in the first phases of the disesae. Various molecule was introduced like antivirals (remdesivir) monoclonal antibodies since to Paxlovid, molnupiravir et other. But related the new variant and efficacy of monoclonal therapy it is interesting to observe :
Viruses. 2022 Jun 18;14(6):1334. doi: 10.3390/v14061334.
Resistance of SARS-CoV-2 Omicron BA.1 and BA.2 Variants to Vaccine-Elicited Sera and Therapeutic Monoclonal Antibodies
Hao Zhou, B. M Dcosta, Nathaniel R Landau, T. Tada DOI: 10.3390/v14061334
“The recent emergence of the Omicron BA.1 and BA.2 variants with heavily mutated spike proteins has posed a challenge to the effectiveness of the current vaccines and to monoclonal -antibody MABS therapy for severe COVID-19. After 2 immunizations of individuals with no history of previous SARS-CoV-2 infection with BNT162b2 vaccine, neutralizing titer against BA.1 and BA.2 were 20-fold decreased compared to titers against the parental D614G virus. A third immunization boosted overall neutralizing titers by about 5-fold but titers against BA.1 and BA. 2 variants remained about 10-fold below that of D614G. Both Omicron variants were highly resistant to several of the emergency use authorized therapeutic monoclonal -antibodies MABS. The variants were highly resistant to Regeneron REGN10933 and REGN10987 and Lilly LY-CoV555 and LY-CoV016 while Vir-7831 and the mixture of AstraZeneca monoclonal antibodies AZD8895 and AZD1061 were significantly decreased in neutralizing titer. Strikingly, a single monoclonal antibody LY-CoV1404 potently neutralized both Omicron variants.”
One great tool introduced was the vaccination strategy ( m RAN VACCINE, VIRAL VECTOR and recently proteic vaccine or inactivated ).
But as like happen to the classic drugs it is not a good thing not to talk about impurities also in this biopharmaceutical innovative product.
This because th manifgacturing process but also due by the raw material used.
Fundamental so tueh technique used for quality control before the release of the lots.
But becasue according some refenrence of independet reseacher finded in some vials of covid -19 vaccine Graphene like particles ( P. CAMPRA university af ALMEIRA) and also in blood of vaccinated patients ( Giovannini et al 2022 ) it is intersting to verify the various approch used by this reseacher as well as some interstinf documents. Because some referece reported are affeted by some lack versus a classif scientific research work The authors used a kind of investigative methods.
Every reader at the end can adopt their proper opinion about this controversal topic.
Material and Methods
With an observational point of vew some interesting practical esperience, literature or documents are reported related covid-19 pathology and vaccine.
Because some of this references was affected by some fundamental characteristic of scientific work Accepted by editorial board reviver (peer review), or are not signed, or produced not by classic Scientific professional and researcher or due by other relevant problem other scientific reference are collected in order to confirm or not some aspects. Also WHITE PAPER are reported related the difficultie of variosu researcher to see accepted theri free work In a “SO CLOSED” ENVIRONMENT to the opinion out the common convention.
After this review part and experimental project hypotesys is submitted to the researched in order also to produce a global conclusion related the topic of investigations.
Results
From literature,or WHITE PAPERS published not by a scientific journal whit review phases , or by website or from published documents :
Vascular and organ damage induced by mRNA vaccines:
irrefutable proof of causality Michael Palmer, MD and Sucharit Bhakdi, MD
doctors4covidethics.org Thursday 18th August, 2022
“This article summarizes evidence from experimental studies and from autopsies of patients deceased after vaccination. The collective findings demonstrate that
1. mRNA vaccines don’t stay at the injection site by instead travel throughout the body and accumulate in various organs,
2. mRNA-based COVID vaccines induce long-lasting expression of the SARS-CoV-2
spike protein in many organs,
3. vaccine-induced expression of the spike protein induces autoimmune-like inflammation,
4. vaccine-induced inflammation can cause grave organ damage, especially in vessels, sometimes with deadly outcome.
We note that the damage mechanism is which emerges from the autopsy studies is not limited to COVID-19 vaccines only but is completely general—it must be expected to occur similarly with mRNA vaccines against any and all infectious
pathogens. This technology has failed and must be abandoned.
In order to cause po1entially lethal damage, the mRNA vaccines must first distribute from the injection site to other organs. That such distribution occurs is apparent from animal experiments reported by Pfizer to Japanese authorities with its application for vaccine approval in that country. Rats were injected intramuscularly IM with a radioactively labelled model mRNA vaccine, and the movement of the radio-label first into the blood-stream and subsequently into various organs was followed for up to 48 hours.” [1]

Figure 1: form M. PALMER et al
Clin Infect Dis. 2022 Jun 1; 74(11): 1933–1950. 2021 Aug 18. doi: 10.1093/cid/ciab707
Intravenous Injection of Coronavirus Disease 2019 (COVID-19) mRNA Vaccine Can Induce Acute Myopericarditis in Mouse Model
Can Li, Yanxia Chen, Yan Zhao, David Christopher Lung, Zhanhong Ye, Wenchen Song, Fei-Fei Liu, Jian-Piao Cai, Wan-Man Wong, Cyril Chik-Yan Yip, J. Fuk-Woo Chan, Kelvin Kai-Wang To, S. Sridhar, Ivan Fan-Ngai Hung, H. Chu, Kin-Hang Kok, Dong-Yan Jin, A. Jinxia Zhang, and Kwok-Yung Yuen
“In a Balb/c mouse model with both male and female mice, IV but not IM administration of COVID-19 mRNA vaccine induced a rapid onset of multifocal myo- pericarditis with elevated serum troponin, cardio myocyte degeneration, and changes of both necrosis and apoptosis, adjacent inflammatory infiltrate of mononuclear- cells, interstitial edema, and visceral pericardial -calcification within 2 dpi. The IL-1β, IFN-β, IL-6 and TNF-α expression levels generally increased significantly from 1 dpi to 2 dpi in the IV group but not the IM group.
Overall, the findings have satisfied the Dallas and immuno-histochemical criteria of myocarditis. Similar to findings of cardiac magnetic resonance imaging in human myo-carditis, the most prominent site of focal involvement was the pericardial side of the atrial and ventricular walls. The myo-pericarditis was subclinical and the changes persisted but did not progress within 14 dpi. But these histo- pathological changes of myo-pericarditis deteriorated and became rather diffuse after the second dose boosting with either IV or IM administration 14 days after the first dose of priming.”
Eur Rev Med Pharmacol Sci 2021 DOI: 10.26355/eurrev_202108_26464
Vaccine-induced severe thrombotic thrombocytopenia following COVID-19 vaccination: a report of an autoptic case and review of the literature
D. Fanni, L. Saba, R. Demontis, C. Gerosa, A. Chighine, M. Nioi, J.S. Suri, A. Ravarino, F. Cau, D. Barcellona, M.C. Botta, M. Porcu, A. Scano, F. Coghe, G. Orrù, P. Van Eyken, Y. Gibo, G. La Nasa, E. D’aloja, F. Marongiu, G. Faa
Immunology Infectious Diseases
“Vaccine-induced immune thrombocytopenia (VITT) is a new syndrome occurring primarily in healthy young adults, with a female predominance, after receiving the first dose of the ChAdOx1 nCoV-19 vaccine. We describe VITT syndrome characterized by severe thrombosis and thrombo-cytopenia found in our patient, with a fatal outcome.
A 58-year-old man, after 13 days from the first administration of ChAdOx1 nCoV-19 vaccine (AstraZeneca), presented with abdominal pain, diarrhea and vomitus. Lab. tests revealed a severe thrombocytopenia, low fibrinogen serum levels and marked increase of D-dimer serum levels. The patient quickly developed a multiple organ failure MOF , till death, 3 days after the hospital admission. At histology, in the lungs, inter-alveolar septa appeared thickened with micro- thrombi in the capillaries and veins. Inter-alveolar septa appeared thickened and showed vascular proliferation. Thrombi were detected in the capillaries of glomerular tufts. In the hearth, thrombi were observed in veins and capillaries. In the liver, voluminous fibrin thrombi were diffusely observed in the branches of portal- vein. Micro-thrombi were also found in the vasa vasorum of the wall of abdominal aorta. In the brain, micro-thrombi were observed in the capillaries of the choroid plexuses. Diffuse hemorrhagic- necrosis was observed in the intestinal wall with marked congestion of venous- vessels.
In our patient, the majority of data necessary for a VITT final diagnosis were present: thrombo-cytopenia and thrombosis in pulmonary, portal, hepatic, renal , mesenteric -veins, associated with a marked increase of D-dimer serum levels. The finding of cerebral thrombosis in choroid- plexuses, is a new finding in VITT. These features are suggestive for a very aggressive form of VITT.”
Case Report - Vascular Neurosurgery
16 November 2021
Intracerebral hemorrhage due to vasculitis following COVID-19 vaccination: a case report
Ryuhei Takeyama, K.Fukuda, Yuki Kouzaki, T.Koga, Shuji Hayashi, H. Ohtani , Tooru Inoue
Acta Neurochirurgica volume 164
“Our study is the first to report a case of ICH intracerebral hemorrhage due to vasculitis following COVID-19 vaccination”.
Nanotechnological investigations on Covid-19 vaccines.
White paper on vaccines’ compositions The Scientists’ Club ( NOT SIGNED ARTICLE)
“ 4 “vaccines” were analyzed developed for Corona Virus disease (Comirnaty Pfizer-BioNtech,
Vaxzevria by Astrazeneca, Janssen by Johnson & Johnson), Moderna) using different kinds of instrumentation and protocols of preparation according to new nano-technological approaches.
Optical Microscope, Dark-Field Microscope, UV absorbance and fluorescence spectroscope, Scanning Electron Microscopes, Transmission Electron Microscope, Energy Dispersive Spectroscope, X-ray Diffractometer, Nuclear Magnetic Resonance NMR instruments were used to verify the “vaccines”’ morphologies and contents. For the high-technology measurements and the care of the investigation, all the controls were activated and reference measurements adopted in order to obtain validated results. The analyzed “vaccines” present components that are not mentioned in the technical data- sheet and whose presence does not seem to have to do with the concept of vaccine. Since they are not included in the documentation presented to the Governmental organizations (FDA, EMA, etc.) for the legal approval aimed at the commercialization and the human use, they seem to be a contamination probably due to the industrial process of manufacturing. It seems that nobody controlled the final product before its distribution. That means that consumers are not informed of the real content of the products. Possible side effects may be due to the injection of those contaminants into the body. It must be observed that the components that are not declared but we identified are not bio compatible and some have also a mechanical impact once they are inside the blood circulation, especially in contact with the vascular endothelium. The entities present in Pfizer and Astrazeneca “vaccines”, identified by the ESEM images, can represent a risk for the human body. They can be responsible of the formation of thrombi, since they are thrombogenic. A further risk is represented by the extravasation of the particles with an ensuing possible haemorrhage. Once in the blood circulation, the particles can be carried also to the brain. In this case the patient can suffer from a stroke, and/or a cerebral haemorrhage. If the damage of the endothelium caused by the particles occurs in the heart, there is a high probability ofcontracting a myocarditis. In addition to all that, the toxicity of graphene is well-known.
The presence of non-biocompatible organic-inorganic foreign bodies in the blood circulation can be responsible of a nano-bio-interaction that can induce severe health problems.”(2) Scanning & Transmission Electron Microscopy Reveals Graphene & Parasites in CoV-19 Vaccines February 5th, 2021 - Updated October 1st, 2021 & March 12th, 2022!
Author: Robert O Young CPC, MSc, DSc, PhD, Naturopathic Practitioner ( NOT PHISICIAN or BIOLOGIST or CHEMIST)
www.drrobertyoung.com 16th Revision
“Steps of Analysis of Vaccine Aqueous Fractions
Refrigerated samples were processed under sterile conditions, using laminar flow chamber and sterilized lab ware.
Steps for analyses were:
1. Dilution in 0.9% sterile physiological saline (0.45 ml + 1.2 ml)
2. Polarity fractionation: 1.2 ml hexane + 120 ul of RD1 sample
3. Extraction of hydrophilic aqueous pHase
4. UV absorbance and fluorescence spectroscopy scanning “ (3)
International Journal of Vaccines & Vaccination Med crave on line editor
eISSN: 2470-9980 Research Article Volume 4 Issue 1
New Quality-Control Investigations on Vaccines: Micro- and Nanocontamination
Antonietta M Gatti, S. Montanari
“The study was aimed at verifying a possible physical contamination. To do that, we performed a new kind of investigation based on observations under a Field Emission Gun Environmental Electron Scanning Microscope (FEG-ESEM, Quanta 200, FEI, The Netherlands) equipped with the X-ray microprobe of an Energy Dispersive Spectro scope (EDS, EDAX, Mahwah, NJ, USA) to detect the possible presence of inorganic, particulate contaminants and identify their chemical composition.
A drop of about 20 microliter of vaccine is released from the syringe on a 25-mm-diameter cellulose filter (Millipore, USA), inside a flow cabinet. The filter is then deposited on an Aluminum stub covered with an adhesive carbon disc. The sample is immediately put inside a clean box in order to avoid any contamination and the box is re-opened only for the sample to be inserted inside the FEG-ESEM chamber. We selected that particular type of micro-scope as it allows to analyse watery and oily samples in low vacuum (from 10 to 130 Pa) at a high sensitivity.
When the water and saline the vaccine contains are evaporated, the biological/physical components emerge on the filter and it is then possible to observe them. This type of microscope (low-vacuum observations) prevents the possible sample contamination and the creation of artefacts. The observations are made with different sensors (SE: secondary-electron sensor and BSE: backscattered-electron sensor), and are performed at a pressure of 8.9 e-1 mbar, at energies ranging from 10 to 30kV to detect the particulate matter’s size, morphology and its elemental composition. The method identifies clearly inorganic bodies with a higher atomic density (looking whiter) than the biological substrate. So, organic entities are visible and easy to distinguish from inorganic ones. The method cannot distinguish between proteins and organic adjuvants ( squalene, glutamate, proteins) or viruses, bacteria, bacteria’s DNA, endo-toxins and bacteria’s waste, but their comparatively low atomic density allows us to identify these entities as organic matter. In some vaccines, the organic matter contains white-looking debris named aggregates, while a high concentration or inorganic debris is called a cluster.
Single inorganic particles or organic-inorganic aggregates are identified, evaluated and counted. The counting procedure is repeated 3 times by 3 different operators, with an error lower than 10%. When a layer of salts ( NaCl or Aluminum) is detected, we record the situation but we do not do body count “(4)
This editor is inside the Beall’s LIST , but also in open literature it is possible to find good article and some
Editors in this list are also indexed by harvard library
From OPEN ONLINE 29 jan 2022 : a new relevant italian web journal
“La Polizia Metropolitana del Regno Unito ha semplicemente ricevuto una denuncia da parte di uno o più cittadini, registrando l’apposito numero della pratica senza avviare per forza un’indagine. Non risultano, affatto, perquisizioni da parte delle Forze dell’Ordine nei centri vaccinali britannici, così come non c’è alcun ordine di arrestare presunti colpevoli di un reato non riscontrato dalle autorità.”
From the expose aug 2022 website
Regarding The CRN 6029679/21
“Mr. Hyland reminded Cressida Dick that in order to issue a crime reference number the Police Officer has to be satisfied on the balance of probabilities on the evidence presented that a crime or crimes have been committed. The guidelines are clear. A video showing the Duty Inspector at Hammersmith Police Station confirming a live investigation, the crime number 6029679/21 is below, Mark Sexton adds that evidence has been and continues to be submitted to Hammersmith CID. A Duty Inspector Confirms Live Investigation.
A video from Mark Sexton was recorded at Hammersmith Police Station, where the Duty Inspector confirms the live investigation. The crime number 6029679/21 is attached, and evidence has been and continues to be submitted to Hammersmith CID.
On the 27th of January 2022, a message was shared from lawyers, Philip Hyland, Lois Bayliss, and retired police constable Mark Sexton.
“Today 200 further statements were submitted to CID at Hammersmith Police.
Whistleblowers statements including from GP’s, vax damaged victims, NHS staff citing coercion and Blackmail.
Also, significant evidence of the Manslaughter/Murder of victims involved in the Hydroxychloroquine trials, where excessive doses were given to discredit the drug in order to bring in the emergency powers.”
A video showing the Duty Inspector at Hammersmith Police Station confirming a live investigation, the crime number 6029679/21 is below, Mark Sexton adds that evidence has been and continues to be submitted to Hammersmith CID.”

Figure 2: (on web, showed only as an example) from https://expose-news.com/2022/01/29/updates-from-uk-criminal-case-6029679-21-a-letter-to-commissioner-dick-confirmation-from-the-police/
From REUTERS:” The Metropolitan Police says it has not launched a criminal investigation into Britain’s rollout of COVID-19 vaccines. A crime reference number can be issued after a person reports an alleged crime – but this does not automatically mean an investigation has been opened.
And in the report “ Qualitative Evaluation of Inclusions In Moderna, AstraZeneca and Pfizer Covid-19 vaccines” has been presented to the Police involved in the UK Criminal Case, 6029679/21,
it was writtes:
“which is said to provide them with more than enough reasonable suspicion that serious indictable offences have been committed regarding the administration of experimental treatments. Nano forms of Graphene dominated the counts in all the samples. They were found to be present both in roundish shapes and long spiculate shapes. The rounded forms were almost entirely found in association with nano particles.
These nano Graphene spicules were impossible to be evaluated by Raman, as their radius was
measurably smaller than the resolution of the laser.
The 2 clear Raman signals were obtained from 2 objects. The flat ribbon like inclusions exhibited clear graphene spectra integrated with the spectrum of polyethylene glycol and other minor compounds. The other clear signal was obtained from a calcite microcrystalline formwith a distinct strong peak at 1100cm-1.
The carbon composite forms had a highly complicated signal with clear graphene peak at
1600cm-1, but other peaks at 1100 cm-1 making the signal quite difficult to separate. ( pag 19 of the report) Further analysis is currently underway to isolate these signals and identify the other components of this form of carbon. Some nano amorphous carbon forms showed a clear Graphene signal however,
these forms also exhibited fluorescence which masked the Graphene peak.
“The signals of amorphous carbon like materials were extremely complex with carbon along with iron oxide and several other compounds in them. The graphene complex 1 is graphene with polyethylene glycol signal forming the bulk of the spectrum.
The graphs obtained by tracking the movement for these particles were typical of self-assemblage systems composed of particles coming together under the influence of various intermolecular forces (figure 3.14). ( pag 21 of the report) An interpretation is here drawn in light of the knowledge, that these particles carry the required m-RNA load and under the designated conditions, exhibit the self assemblage characteristics using a combination of non-covalent intermolecular interactions such as electrostatic, hydrophobism, vander Waals and pi effects . ( pag 21 of the report ) The self assembly processes seem to be driven by a constantly changing competitive environment which is driven by the kinematic and thermodynamically driven cursours following a typical LaMer model. The seeding of the process seems to be around the nucleic acid form of molecules and Graphene nano objects. According to Kulkarni et al. (2018), the growth of the particle relies on the pH neutralisation and migration of neutral, unbound ionisable lipid towards the LNP core regardless of the payload (mRNA, minicircular DNA or
pDNA).
These particles were observed in ubiquity across the sample preparations and each of these structures began with the formation of a small seed like particle to which the surrounding
particles aggregated, based on hydrophobic interactions. (pag 22 of the report)
What seems to be obvious through observation is that hydrophobic interactions appear to be the dominant driving force of the LNP growth and electrostatic interactions guide the seedformation and stability of the final assembly. The core of the nanoparticles was seeded with carbon nanotubes and carbon nano objects: formed of some form of detrital carbon particles. ( pag 28 of the report)
Given, the high concentration of graphene nano objects in all 4 vaccines, as the nanoparticles move through the medium, they must be incorporating not only graphene nanodots, but also nano scrolls, thereby increasing their binding efficiency and their ability to carry their pay load (pag 43 of the report) ” (5)
From website of POLICE SCOTLAND Our Ref: IM-FOI-2022-0141
Date: 28 th January 2022
FREEDOM OF INFORMATION (SCOTLAND) ACT 2002
“I refer to your recent request for information which has been handled in accordance with the Freedom of Information (Scotland) Act 2002. For ease of reference, your request is replicated below together with the response.
I am putting in a freedom of information request date 17/01/2022 to seek information around criminal complaint 6029679/21 in the public interest around vaccines and crime that have been committed against the British public. 1) On the 20th December 2021 a crime was reported to Hammersmith Police
station ref 6029679/21, this made allegations of serious crimes against the British
public. Can you conform that the Chief constable has been made aware of this
investigation?
The Metropolitan Police Service received a complaint and a number of documents on 20
December 2021. The MPS provided the complainers with a crime reference number and is
reviewing the content of the documents.
The MPS has been clear that nothing has been found to suggest any offences or
grounds for an investigation, and that no such investigation is taking place. This has been
communicated to all Chief Constables in the UK”
From LEGISLATIVE ASSEMBLY FOR THE AUSTRALIAN CAPITAL TERRITOR Y STANDING COMMITTEE ON HEALTH AND COMMUNITY WELLBEING
Mr Johnathan Davis MLA (Chair), Mr James Milligan MLA (Deputy Chair),Mr M. Pettersson MLA
Inquiry into Public Health Amendment Bill 2021 (No 2) Submission Number: 321
Date Authorised for Publication: 18 January 2022
"UK POLICE LAUNCH MAJOR INVESTIGATION INTO MRNA COVID‐19
VACCINE‐RELATED CORPORATE CRIMES AND THREATS TO PUBLIC HEALTH
Metropolitan Police Crime Number: 6029679/21. International Criminal Court (The Hague) Case number: OTP‐CR‐473/21
“The case was lodged on 20th December 2021 by Sam White MD; Philip Hyland (PJH Law); Lois Bayliss (Broad Yorkshire Law) and retired policeman Mark Sexton The world’s largest‐ever international criminal investigation is now under‐way, involving Hammersmith Police and The Metropolitan Police.
The UK police accepted the supporting information and agreed there is enough evidence to proceed under the above crime number.”
“The case was lodged on 20th Dec. 2021 by Sam White MD, Philip Hyland (PJH Law), Lois Bayliss (Broad Yorkshire Law) and retired policeman Mark Sexton. Requests for further assistance have been made to international lawyer Robert F Kennedy Jnr (nephew of J F Kennedy), Dr Reiner Fuellmich (German corporate lawyer who won the emissions scandal case against Volkswagen Audi), Dr. Michael Yeadon (Former Pfizer Vice President), plus countless other doctors, professors, virologists, biologists, data experts and lawyers nationally and internationally; some of whom have already made direct contact with the police and have been acknowledged by Superintendent Simpson (Assistant to Cressida Dick, Head of The Metropolitan Police).” “In November 2020 Dr Andreas Noack, a German chemist and one of the EU’s top graphene experts, released a video explaining that he had discovered graphene hydroxide contained in the COVID-19 experimental treatments. He described how the graphene hydroxide nano structures injected into the human body act as ‘razor blades’ inside the veins of recipients and how they would not show up on an
autopsy or normal toxicology tests given their atomic size. On 26th Nov. 2021, just hours after publishing his latest video about graphene hydroxide, he died in suspicious circumstances.
Professor Dr Pablo Campra, University of Almeria, Spain also examined Covid-19 experimental treatments in November 2021 using Micro-Raman Spectroscopy, the study of frequencies. He too confirmed the presence of graphene Stage 4 – Raman sampling and preparation Subsamples from original vials were obtained for Raman spectroscopy. These were transferred onto standard slides using sterilised glass pipettes. The slides were left to dry under glass chambers inside a fan heating oven before being taken for examination to the Raman Laboratories. The carbon composite forms had a highly complicated signal with clear graphene peak at 1600cm-1 , but other peaks at 1100 cm-1 making the signal quite difficult to separate. Further analysis is currently underway to isolate these signals and identify the other components of this form of carbon. Some nano amorphous carbon forms showed a clear Graphene signal however, these forms also exhibited fluorescence which masked the Graphene peak.” [5]
from JANUARY 10, 2022 BY MICHAEL DUCHARME
Dr Andreas Noack's Warning to the World about Covid Jabs Andreas Noack a German chemist Ph D and carbon expert
Dr. Noack : from the video ( transcription) his personal opinion
“There is a professor from the university of Almeira, Professor Dr. Pablo Campra. He studied the vaccines for the presence of graphene oxide using Micro-Raman Spectroscopy. It is the study of frequencies. There are frequency bands. 2 of those bands are important. They show that it is not graphene oxide, but rather graphene hydroxide.
I would like to explain what this graphene hydroxide is. It is mono-layer activated carbon. There are C6 rings. He found it in all samples. Every corner is a carbon atom. This is on a nano scale. I’ll cut this up a bit here. If it is 50 nm long, there are 500 rings in a row. These are hydroxy groups (OH).
In graphene oxide you have double bonded oxygen, and in graphene hydroxide you have an OH group. The electrons are delocalized (fully mobile). The piece is 50 nm long but only 0.1 nm thick. These c6 structures are extremely stable. You can make brake pads out of this. It is not biologically decomposable.
These nanoscale structures can best be described as razor blades. These razor blades are injected into the body. Nano-scale, tiny razor blade, only 1 atom layer thick. Relatively wide and high. They are razors, biologically not decomposable.
The OH (hydroxy) groups can split off a proton. When the proton is split off, they gain a negative charge spread out over the whole system. It is basically an acid. It suspends well in water because of the negative charge. So these are razor blades spread homogeneously in the liquid. This is basically Russian roulette.
You can see it very clearly in this woman. It cuts the blood vessels. The blood vessels have epithelial cells as their inner lining. The epithel is extremely smooth, like a mirror. And it is cut up by these razor blades. That is what’s so dangerous.
If you inject the vaccine into a vein, the razors will circulate in the blood and cut up the epithel.
The mean thing is that toxicological tests are done in Petri dishes. And there you will not find anything. These are the sharpest imaginable structures because they are only 1 atom layer thick”.
This is a huge molecule which is extremely sharp. I am a specialist in activated carbon. In my doctoral thesis, I have converted graphene oxide to graphene hydroxide. I joined the world leading activated carbon manufacturer. After a year I was in charge of new activated carbon products. We bought a small company near Newcastle, England. I was in charge of “new carbon products”, Europe-wide. I was in application scouting.
If you perform an autopsy on the victims, you will not find anything. Toxicologists do their tests in Petri dishes. They can’t imagine that there are structures that can cut up blood vessels.
There are pictures of coagulated blood coming out of the nose. People bleed to death on the inside. Especially the top athletes who are dropping dead have fast-flowing blood. The faster the blood flows, the more damage the razors will do. As a chemist, if you inject this into the blood, you know you are a murderer.
It’s a new material, toxicologists are not aware of it yet. Suddenly it makes sense that victims look like this. And that top athletes with high blood circulation, completely healthy, suddenly drop dead.
You see people collapse immediately after vaccination and have a seizure. These people had bad luck in the Russian roulette. Very likely, a vein was hit by the syringe.
Dr. Noack: Off-label means the vaccination is not approved. Yet they inject it already. You can only call this a death shot at this point.
Dr. Szekeres: “After extensive consultation with a pediatrician, this is.”
Dr. Noack:
A pediatrician? Do you think a pediatrician understands what graphene oxide is? There is another interview where he says he thinks it is “good” from a medical standpoint to “vaccinate” the population by force.
An important concept of science is disputation. A scientific debate. The basis of medicine or pharmaceutics is chemistry. This doctor has no idea about chemistry. Completely new substances unknown to nature are brought in (with the vaccines).
Everyone is talking about the messenger RNA which has complex effects. The theory of mRNA is complex. But every chemist understands what this (the graphene hydroxide) does. You see the mRNA story is possibly a diversion. I cannot imagine anyone will be able to give me as a carbon specialist a proper explanation why these carbon razor blades are in the vaccine.
This is war. They distract us with the messenger RNA. But people cannot collapse that quickly from that,
He claims to be a specialist. Apparently the Austrian doctors don’t have a smarter guy than this one. He is a doctor who doesn’t understand chemistry, or he is a criminal, or he is a mass murderer.
After the Spanish doctor’s study it is official that nanoscale graphene (hydr)oxide is in the vaccine. So it is clear that razor blades are injected. So he is probably incompetent.
You have to weigh the risk. How dangerous is corona? How dangerous is the injection? This guy wonders whether people should be tied up before being injected. And he’s the top doctor.
I am not some guy in the carbon field. I doctored in this area. I worked for the world’s biggest activated carbon manufacturer. In the area of new carbon products, I was the only expert in Europe. I’m pretty much the only European who visited the other experts in Pittsburgh. After this, I started my own activated carbon company. I resinified paper and turned it into activated carbon membranes. You could cut your hands with this charred paper It was extremely sharp. I have a good idea of what the graphene hydroxide does.
As a chemist, I vouch for the fact that these are nanoscale razor blades. You can make brake pads from carbon structures which last forever. This material has zero biological degradability. It stays in the body forever.Even if people don’t drop dead immediately, it cuts up the blood vessels little by little. It destroys the heart. All the heart attacks. All the strokes. As a doctor, you have to ask, where is this coming from?
If you understand that razors are being injected, it is clear why all the cardiovascular diseases appear. The heart is cut up. The brain is cut up. Blood vessels are cut up.
These graphene structures (AKA monolayer carbon or monolayer graphite) are so stable, every chemist knows this. They re not degradable. The structure is 50 nm long and 0.1 nm thick. Of course it is a razor. Every chemist knows it is.
The epithel cells are extremely smooth for a good reason, but become rough when cut up like this and things stick to it.
A normal toxicologist tests using a Petri dish. This material is declared an “experimental vaccine” for a reason. They don’t know what will happen. Every vaccinated subject has to sign that they take full responsibility.
It will take 50 years until the contracts with Pfizer will be published. What is in these contracts? Why 50 years?
In Germany or Austria, there is nobody with my expertise. The leading German carbon specialist Dr. Harmut von Kienle was my mentor for 1 year. I wro. te my thesis in this field. I started my company in this field and won a business plan competition in Wolfsburg. I won DM 175,000 (87,500 Euros) in the competition. I received venture capital to the tune of 6 million DM (3 million Euros). I had 10 developers to develop these new carbon products. I know what I am talking about.
Sir Karl Popper explained the fundamentals of science. Hypothesis – refutation. Popper said that it is better to kill theories than to kill humans. The whole population is supposed to be injected.
Exactly like Karl Popper says, if you continue to ride this murderous theory, you have to be extremely careful.” [6]

Figure 3: graphene oxide sheet image by transmission electron microscope. Science and technology concept of smart material in the future.

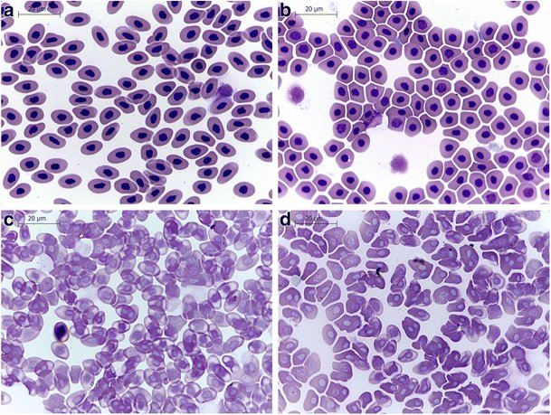
Figure 4: Red blood cell morphology by light microscopy. a Control (without treatment). b Pristine graphene. c Oxidized graphene—GO. d Reduced oxidized graphene—rGO. Black arrows point to GO agglomerates; red arrows point to rGO agglomerates From Interaction of different forms of graphene with chicken embryo red blood cells
Springer September 2017Environmental Science and Pollution Research 24(12):1-9 Follow journal
DOI: 10.1007/s11356-017-9788-5 Sławomir Jaworski et al
From great mountain website dec 2 2021
Expert Reportedly Killed After He Publicly Revealed that Graphene Hydroxide is in COVID-19 Vaccines and Warned of Its Dangers
Dec. 2, 2021 by Edward Hendrie
“Dr. Andreas Noack is 1 of the foremost experts on graphene in the world. He has studied data from Professor Pablo Campra from the University of Almeira. Dr. Campra used micro-raman spectroscopy to analyze the contents of the Pfizer-BioNTech COVID-19 vaccine. Dr. Noack reviewed Dr. Campra’s findings and found that the Pfizer-BioNTech COVID-19 vaccine contains graphene hydroxide.
Dr. Noack confirmed the findings of Robert Young, M.Sc., D.Sc., Ph.D., who used phase-contrast microscopy, transmission and scanning electron microscopy, and energy-dispersive x-ray spectro scopy to analyze the following COVID-19 vaccines: Pfizer–BioNTech mRNA Vaccine, the Moderna-Lonza mRNA-1273 Vaccine, the Serum Institute Oxford Astrazeneca Vaccine, and the Janssen COVID -19 Vaccine. Dr. Young concluded:
The Pfizer, Moderna, Astrazeneca and Janssen drugs are NOT “vaccines” but complexed Graphene Oxide nano particulate aggregates of varying nano elements attached to genetically modified nucleic acids of mRNA from animal or vero cells and aborted human fetal cells.
Dr. Noack states that the graphene hydroxide in the vaccine is a nanoparticle that is 50 nm long and 0.1 nm thick. Dr. Noack explains that the nanoparticles of graphene hydroxide act as kind-of razor blades slicing and dicing as they move through the body. Graphene hydroxide is not biodegradable. It remains circulating in the blood indefinitely. Dr. Noack explains that the heart and brain are organs that are particularly susceptible to damage from graphene hydroxide. Dr. Noack opines that is why there has been a rash of young athletes dropping dead from heart- attacks. The blood of the young athletes is efficiently coursing throughout the body causing unseen damage until they un-expectedly drop dead. Dr. Noack explains that doctors performing autopsies on victims of the vaccine are not going to find the graphene hydroxide because they are looking for something biological as the cause of death.” [7]
Form Great mountains publication
Poisonous Graphene Oxide Found in COVID-19 Vaccines
August 30, 2021 by Edward Hendrie
“Robert Young, M.Sc., D.Sc., Ph.D., used phase-contrast microscopy, transmission and scanning electron microscopy, and energy-dispersive x-ray spectroscopy to analyze the following COVID-19 vaccines: Pfizer–BioNTech mRNA Vaccine, the Moderna-Lonza mRNA-1273 Vaccine, the Serum Institute Oxford Astrazeneca Vaccine, and the Janssen COVID -19 Vaccine. Dr. Young concluded:
The Pfizer, Moderna, Astra-zeneca and Janssen drugs are NOT “vaccines” but complexed Graphene Oxide nano particulate aggregates of varying nano elements attached to genetically modified nucleic acids of mRNA from animal or vero cells and aborted human fetal cells. Dr. Young found the presence of graphene oxide using advanced microscopy. Some would consider that presumptive proof but not confirmatory. Some suggest that mass spectrometry- analysis is necessary to confirm Dr. Young’s findings. It is fair to say that Dr. Young’s advanced microscopy evidence, along with the other circumstantial evidence, establishes at least probable cause that the COVID-19 vaccines contain graphene oxide GO.” [8]
From great mountain publications
Japan Ministry of Health Pulls Millions of Moderna COVID-19 Vaccine Vials After They React to Magnets
September 1, 2021 by Edward Hendrie
“YUMIKO URASAKI and YUKO NOMURA, Nikkei staff writers, reported on August 26, 2021, that the Japanese Ministry of Health, Labor, and Welfare has pulled 1.6 million vials of the Moderna vaccine from circulation in Japan because the vaccine was found to contain a substance that reacts to magnets.
The article states that “Prime Minister Yoshihide Suga told reporters on Thursday afternoon that he had instructed the ministry to look into the case with safety as the top priority. Some suggest the vials could have been contaminated with some kind of metal. But Tyler Durden, reporting for Zero Hedge, states that “[s]ome believe the reported magnetism can be explained by graphene oxide GO, a magnetic nano-particle studied for its use as a drug delivery platform and other biomedical applications.”
Indeed, graphene oxide GO has been studied as an ingredient for use in hydrogels. Hydrogels are used to protect the otherwise fragile mRNA in the COVID-19 vaccines. One of the characteristics of graphene oxide GO is that when it is stacked and twisted, it develops a rare form of magnetism.
Angus Liu reported on Feb 17, 2021. for Fierce Biotech, that “Scientists at China’s National Center for Nanoscience and Technology (NCNST) have designed a hydrogel to deliver an mRNA vaccine with an immune-stimulating adjuvant.” “ [9]
And from article :
Foreign Materials in Blood Samples of Recipients of COVID-19 Vaccines international Journal of Vaccine Theory, Practice, and Research 2(1), March 11, 2022
“The Korea Veritas Doctors (Ko.Ve.Docs) for COVID-19 previously found certain foreign materials and moving parasitelike entities in the Pfizer and Moderna mRNA COVID-19 vaccines as those vaccines were warmed to near room temperature (Jeon, 2022). Here we report on similar foreign materials found in samples of centrifuged blood from 8 COVID-19 vaccine recipients as contrasted with 2 individuals who did not receive any COVID-19 vaccine and who had none of the foreign materials in their blood plasma. The preponderance of evidence suggests that the foreign -materials found in the COVID-19 vaccine recipients in the study reported here were injected into their bodies when they received one or more doses of the COVID-19 vaccines. Blood samples were prepared and observed under a stereo-microscope after being centrifuged at 2,200 rpm for 30 minutes. From the 8 COVID-19 vaccine recipients: 6 plasma samples
contained a multi-layered disc of un-identified composition; 3 samples contained beaded coil-like materials; 1 plasma sample contained a fibrous bundle of similar appearing beaded foreign material; and a different group of 3 samples had crystal-like formations of foreign -material. The various shapes and sizes of foreign materials in the centrifuged plasmas of COVID-19 vaccinated individuals closely resembled the shapes and sizes of foreign materials previously observed directly in the vaccines themselves.” [17]
from document :The most dangerous drugs ever unleashed on the human
population in the history of medicine
Brendan Godwin; 29th September 2021; Australian Bureau of Meteorology (Retired)
https://doi.org/10.31237/osf.io/pd3cj Thesis commons
“With regard to thrombosis. Dr Jane Ruby was interviewed by Stew Peters who showed
examples of what the deteriorated blood looks like when exposed to Graphene Oxide” . [18]

Figure 5: from VAERS (Vaccine Adverse Event Reporting System)
Vaers strengtsh: Can detect very rare adverse events that may not be detected before licensure
Generates hypotheses
Helps identify new and/or rare adverse events following immunization
Helps determine if further investigations are needed
Monitors trends of already known adverse events
Monitors vaccine lot safety
Vaers limitations : Underreporting
Stimulated reporting due to media attention and other factors
Possibly incomplete and inaccurate data on report form
Lack of availability of denominator data
No information on number of persons vaccinated
No information on background rates of adverse events in the population
VAERS generally cannot determine if an adverse event report was coincidental or caused by a vaccine
RSC Adv. 2019 Jun 17;9(32):18559-18564.
doi: 10.1039/c9ra02076d. eCollection 2019 Jun 10.
Identification of graphene oxide and its structural features in solvents by optical microscopy
Huailiang Xu , Zhikai Qi , H. Jin , J. Wang , Yan Qu , Yanwu Zhu , Hengxing Ji
DOI: 10.1039/c9ra02076d
“Graphene oxide GO suspensions in solvents are the most important feed-stocks for preparing GO based composites, and the dispersion state of GO on the microscale in solvent is a dominating factor in determining the physical properties of GO based composites. The morphology of GO sheets in solvents has hardly been reported due to the limitation of the characterization methods. We report that the sheet thickness and lateral size of GO in solution can be identified using optical microscopy (OM) within 2 minutes. The dispersion states of graphene oxide GO, including stretched flakes, scrolls, crumbles, and agglomerates, can also be distinguished. The dispersion- states, which change with the Ph- value and ionic strength of the solvent, are closely related to the dispersion stability of the graphene oxide GO suspension and the morphology of the GO/PVA composite. We believe that the fast observation and identification of GO sheets and their structural features in solvents, enabled by OM, opens up a new avenue to studying GO based composite materials in the liquids.
Fluorescence microscopy is capable of imaging the GO species in solution by mixing with fluorescent dyes to enhance the optical contrast of the GO sheets. .The absorption of dye molecules on GO graphene oxide sheets changes the surface charge of GO, thereby affecting the dispersion state of GO sheets in solvents, and this may lead to ambiguous results in evaluating the dispersity of GO graphene oxide and its effect on the physical properties of GO based composites.”. (19)

Figure 6

Figure 7: (a)–(d) OM images of GO graphene oxide suspensions of 0.1 mg mL−1 at different pH values. The red dashed lines in (a) mark GO sheets in the stretched state, the yellow- arrows in (c) and (d) mark GO scrolls, and the blue dashed circles in (d) mark crumbled or agglomerated GO. Insets: photographs of the GO suspensions in water at different pH values. Scale bars are 100 μm.
Journal of Molecular Liquids
Volume 287, August 2019
Solvent-induced changes in the graphene oxide absorption spectrum. The case of dimethylsulfoxide/water mixtures
Vira Agieienko ,V. Neklyudov ,Ayrat Dimiev
https://doi.org/10.1016/j.molliq.2019.110942
“Highlights
Compared to an aqueous dispersion, an increase of the D.M.S.O. content induces a blue shift of the GO's n–π* transition band peak.
A shift of the n–π* transitions peak is very likely due to specific interactions of the solvent molecules with GO's carboxyls.
The Wallace-Katz analysis indicates co-existence of 2 GO absorbing species in DMSO/water mixtures.
In water-rich and D.M.S.O.-rich mixtures GO is preferentially solvated by H2O and DMSO molecules, respectively.
QC calculations reveal a principal possibility of substitution of the water-covered GO surface by DMSO molecules.”(20)

Figure 8: from reference n. 20

Figure 9: Raman spectrums RS of graphene exfoliated via different solvent systems. An increase in the D peak is observed as the lowest R a value of a particular system decreases. This suggests better exfoliation due to the presence of more edges as more layers are exfoliated from bulk- material. It can be seen in Figure that the D band which is associated with edge defects increases gradually when graphene was exfoliated in solvent-water systems that have decreasing Ra- values. This is characteristic of better exfoliation due to formation of the new- edges which leads to a more pronounced edge effect reflectedby the increase in the D- peak. From A Facile One-Step Green Synthesis of Graphene by Mild Solvent Exfoliation. Available from:https://www.researchgate.net/publication/303634386_A_Facile_One-Step_Green_Synthesis_of_Graphene_by_Mild_Solvent_Exfoliation [accessed Aug 31 2022].From A Facile One-Step Green Synthesis of Graphene by Mild Solvent Exfoliation
June 2016Science of Advanced Materials 8(6):1177-1186 DOI: 10.1166/sam.2016.2702 Joanna Chia

Figure 10: from Environ. Sci. Technol. 2016, 50, 20, 11066-11075 Proposed interactions of heavy metal cations with GO nano sheets in 3 steps: (1) adsorption of heavy metal onto GO nano-sheets; (2) formation of 1D-, 2D-, and 3D-like structures; and (3) aggregation of sphere-like flocculation.
Aggregation, Adsorption, and Morphological Transformation of Graphene Oxide in Aqueous Solutions Containing Different Metal Cations
Kaijie Yang, B. Chen, Xiaoying Zhu, B. Xing
Environ. Sci. Technol. 2016
September 23, 2016 https://doi.org/10.1021/acs.est.6b04235
“One cation can interact with 1–3 aromatic planes of the graphene nano-sheets through cation × 1π, cation × 2π, and cation × 3π. This electronic interaction is strong enough to deform benzene ring. Strong cation-π interactions bend and roll the aromatic plane of GO graphene oxide and form a more thermodynamically favorable 1D tube-like structure, when cations interact with the GO nano-plane in a certain direction . As a result, the hydro philicity and negative charges of GO particles weaken. In addition to the common cation-π interaction model, cations can induce aromatic- planes to form a π × cation × π structure (i.e., cation × 2π). Cation × 2π strengthens the π–π interactions and further governs the macro molecular structure. Cations can link or induce aromatic planes to form face-to-face multiplied structures through cation × 2π . Strong cation clusters can attract aromatic planes in all directions to form a novel interaction of cation × 3π. As a result, multi- or monolayer GO graphene oxide nano sheets assemble around the cation cluster by forming a cation × 3π cage-like structure .
In contrast, except for the cation × 3π inducement, the 3D GO bulk aggregate can be formed with the presence of Mg2+ via EDL suppression because Mg2+ displayed weak affinity to the GO graphene oxide plane. The combined interactions of strong π–π interactions and cation × 3π between aromatic planes can activate 2D graphene oxide GO into a tight sphere-like 3D aggregation, as shown in the AFM images of Figures 6G and 6H. Following EDL suppression during the aggregation, 1D, 2D, and 3D structures accumulate and combine to form a sphere-like aggregated GO . With the proposed adsorption-structural transformation-aggregation processes , the 2D GO graphene oxide nano-sheets were converted into spherical colloids in the presence of heavy metals, which is a potential reason why aggregation of the GO nano-sheets also follows the DLVO sphere–sphere mode. This study strongly suggests that the adsorption, structural transformation, aggregation should be considered together to precisely elucidate the colloidal- behavior and environmental transport of nano materials such as graphene oxide, carbon nanotubes, and fullerene”. [21]
From website https://www.theguardian.com/world/2020/jun/04/covid-19-lancet-retracts-paper-that-halted-hydroxychloroquine-trials
“The Lancet paper that halted global trials of hydroxy-chloroquine for Covid-19 because of fears of increased deaths has been retracted after a Guardian investigation found inconsistencies in the data.
The lead author, Prof Mandeep Mehra, from the Brigham and Women’s hospital in Boston, Massachusetts decided to ask the Lancet for the retraction because he could no longer vouch for the data’s accuracy.
The journal’s editor, Richard Horton, said he was appalled by developments. “This is a shocking example of research misconduct in the middle of a global health emergency,” he told the Guardian.
A pharmacist holds the anti-parasite drug ivermectin for sale to the public in Bolivia
A Guardian investigation had revealed errors in the data that was provided for the research by US company Surgisphere. These were later explained by the company as some patients being wrongly allocated to Australia instead of Asia. But more anomalies were then picked up. A further Guardian investigation found that there were serious questions to be asked about the company itself.”
Experimental Project Hypotesys
In order to verify in clear way the grade of affidability of some works reported this must to be sended to
3 reviewer applied to the specific topics and re-evaluated in blinded way .
The work musto to evaluated for material used, methods, control use, blind ,number of sample
Chemical intrsuments used and other like statistical analisys .
After this parte every reviewer produce a report .
If the work produced if classify as good or execellent it must to be take in consideration even if not signed
Or produced by a non physicians , or biologistor chemists or other scientific recognized professional
Discussion
In this work are reported various relevant classic reviewed article published by international recognized journal and editors.
Other research study non reviewed and interesting document are reported even if affected by various level of weakeness :
lack of sign, published onwebsites but not by classic editors, published in predatory journals, performed by not phisicians or biologist or chemists but in complexive way talk about some features involving m RNA VACCINE .
Some reported works show great accurancy and this denote a great work behind.
Related the public debate involving graphene derivates in covid-19 vaccine:
It is true that “ what we not like to see we not search “ :
Because it is needed for the regulatory agency and producers to give public evidence of absence of this substantie in every lots released it is relevant the global analitycal methdos used .( see fig. 8 - 9-10 : the effect played by the various solvent in some chemico physical properties and reference n 13 ).
But in order to detect impurities whit high sensibility from a biopharmaceutical it is relevant not only the analytical methods used bus also the pre-treatement of the sample ( in example testing nanoparticles). (13)
It was used different instrumentation and protocols of preparation according to new nanotechnological approaches. (2)
Crucial also to have direct knowledge as public evidence of all manifacturing process used, as well as quality of the raw material used or of the final product ( whit a classic chemico analitical methodology
Universally approved ) .
The fact that there are present patents or industrial secret must not limits the public evidence of a safety process.
In some assessment report of various m RNA VACCINE it was reported that it must to be clarifyed the quality profile of some eccipients ( wrutten by regulatory agency).
For all this reason there is the need to verify for every lots of m RNA VACCINE the complete absence of graphene derivated using also destructive methods and whit the technique necessary to give a full responce like a classic and official chemico analitical test. ( right sample collecting, rigth pretreatement of the sample , right methods, right instruments and right professionals, right control of interference factors, right sensibility and accurancy, qualitative and quantitative analaysys, using of the standard control).
Conclusion
The global instrument to prevent or treat sars-cov-2 disease was and are various : masks, social distancing measure, acloolic hand gel washing, DPI , gloves , temperature measure , lockdawn and other various.
Many drugs was tested and introduced like Remdesivir, Paxlovid. Molnupiravir .
Monoclonal antibodies was introduced but whit various level of efficacy vs the new variants.
The same vaccine strategy was added ( m RNA, viral vector , inactivated, Proteic ).
But for all of this strategie the profile of efficacy / safety mud to be right evaluated expecially for the
Emergency approved vaccine.
Observing some recent relavant references published and Collected :
1)or on vials of vaccine ( P. CAMPRA )
2)or in blood of vaccinates GIOVANNINI et al
3) or related published review works Luisetto Tarro et al
it is of great interest to match this with some other reported independent researcher esperience even if not classically reviewed or published as White paper.
To do this operation it is crucial before to test this reported experience by independent reseacher with high level Professional reviewer expert able to test the goodness of the work submitted.
In example YOUNG RO pre-treated the nanolipids with solvent before to test the sample avoiding some interference like a classic chemico - analytical method. (even if he is not a chemist its work-methods was excellent).
In this article are reported aslo the influence of solvents in RAMAN measure . (13) But what RAMAN IT IS BETTER TO USE ? direct non destructive method or destructive one when are involved nanolipids particle and its payload?
In Europena pharmacopeia last edition it is allowed to use direct non desctructive methods.
Related all this evidence reported, even if not so strong, what kind of messages this carries to us ?
Observing what happen every year for registered classic chemical drus whit also recal by regulatory agency due by impurity are we sure we not have to more investigate also this profile for the new biopharmaceutical product like the m RNA vaccine or using innovative technologies?
SAFE dugs need gret quality control during the manifacturing process , for the raw materials and in the final product using the real best chemical classic methods .
An expecial attention must to be dedicate to the fact that this bioproduct are inside nanolipids for the analitycs interferences on the signal to be detected by instruments during quality control.
According a Personal opinion of P. CAMPRA a university full Professsor Phd chemical science
received ( 24-08-2022)
“In my opinion GO and other non-declared substances must be located by microscopical techniques coupled with spectroscopy (Raman, XPS, e diffraction).Otherwise the analyses will yield negative identification, as their amount is low and they show as dispersed particles”
Sally Vanden-Hehir et al written : about RAMAN spettroscopy used for GMP CQ :
“A major advantage of Raman ( RS) is that it allows direct imaging of the nanocarriers, and not the payload en-capsulated within them”
For this reason it is crucial for production (PAT process analytical technology introduced by FDA) on the raw materials and final product quality control to use the really best analytical methods that include an efficient pre-treateent of the sample in order to avoid interference and with the right sensibility.
(using non destructive but also desctructive methods).
Due to the fact that it was difficult for various researcher to see accepted and published by scientific editor also the WHITE PAPER can be a great option to generate hypotesys to be confirmed.
In this work was reported also an example in which a prestijous international value journal retracted an article after publishing it .
This make possible a final crucial question : must we consider like a BIBLE an article only because published in a reviewed journal ?
Conflcit of Interests: NO
References
- Vascular and organ damage induced by mRNA vaccines:irrefutable proof of causality Michael Palmer, MD and Sucharit Bhakdi, MD doctors4covidethics.org Thursday 18th August, 2022 (1)
View at Publisher | View at Google Scholar - Nanotechnological investigations on Covid-19 vaccines. White paper on vaccines’ compositions The Scientists’ Club
View at Publisher | View at Google Scholar - Scanning & Transmission Electron Microscopy Reveals Graphene & Parasites in CoV-19 Vaccines Updated: 2 days ago February 5th, 2021 - Updated October 1st, 2021 & March 12th, 2022! Author: Robert O Young CPC, MSc, DSc, PhD, Naturopathic Practitioner www.drrobertyoung.com 16th Revision
View at Publisher | View at Google Scholar - International Journal of Vaccines & Vaccination eISSN: 2470-9980 Research ArticleVolume 4 Issue 1 New Quality-Control Investigations on Vaccines: Micro- and Nanocontamination Antonietta M Gatti, Stefano Montanari
View at Publisher | View at Google Scholar - The report “Qualitative Evaluation of Inclusions In Moderna, AstraZeneca and Pfizer Covid-19 vaccines” has been presented to the Police involved in the UK Criminal Case, 6029679/21
View at Publisher | View at Google Scholar - from JANUARY 10, 2022 BY MICHAEL DUCHARME Dr Andreas Noack's Warning to the World about Covid Jabs andreas Noack a German chemist Ph D and carbon expert
View at Publisher | View at Google Scholar - From great mountain website dec 2 2021 Expert Reportedly Killed After He Publicly Revealed that Graphene Hydroxide is in COVID-19 Vaccines and Warned of Its Dangers December 2, 2021 by Edward Hendrie
View at Publisher | View at Google Scholar - Great mountains publication Poisonous Graphene Oxide Found in COVID-19 Vaccines August 30, 2021 by Edward Hendrie
View at Publisher | View at Google Scholar - From great mountain publications Japan Ministry of Health Pulls Millions of Moderna COVID-19 Vaccine Vials After They React to Magnets September 1, 2021 by Edward Hendrie
View at Publisher | View at Google Scholar - Ki-Yeob J. Moving and Living Micro-Organisms in the COVID-19 Vaccines - Prevention, Early Treatment Cocktails for COVID-19 and Detoxifi cation Methods to Reduce sequels of COVID-19 Vaccines. American J Epidemiol Public Health. 2022 January 12;6(1): 001-006. doi: 10.37871/ajeph.id50
View at Publisher | View at Google Scholar - disinfection 1/ 2022 organo di A.T.T.A. (Associazione Tossicologi e Tecnici Ambientali) Analisi al microsopio in campo scuro sul sangue di 1006 soggetti sintomatici dopo vaccinazione con due tipi di vaccino a M rna Darkfield microscope analysis of the blood of 1006 symptomatic subjects affer vaccination whit 2 types of mRNA vaccine” (F. Giovannini, R. Benzi Capelli, G. Pisano) -disinfection 1/ 2022 organo di A.T.T.A. (Associazione Tossicologi e Tecnici Ambientali -Association toxicologist and environmental technicians)
View at Publisher | View at Google Scholar - Luisetto M , Almukthar N, Tarro G , B. NILI A, Edbey K, F.H. Khan , G.A.Hamid, Fiazza C, Cabianca L.,Ilman I, Rafa YA , Mashori G.R., Gadama P.G, Latyshev O.Y (2022). Graphene and Derivates: Physico-Chemical and Toxicology Properties in the mRNA Vaccine Manifacturing Strategy . Sci World J Pharm Sci, 1(2);1-23
View at Publisher | View at Google Scholar - RAMAN (RS) SPETTROSCOPY for BIOPHARMACEUTICAL QUALITY CONTROL and PAT. RAW MATERIAL - FINAL PRODUCTS : THE NANOLIPIDS EFFECT ON SIGNAL INTENSITY. REGULATORY AND TOXICOLOGICAL ASPECTS – article accepted by editor for publishing
View at Publisher | View at Google Scholar - ARTICLE SELF-ASSEMBLING PROPERTY OF GRAPHENE DERIVATES CHEMICO -PHYSICAL and TOXICOLOGICAL IMPLICATIONS article sended to editor, preprint on RG
View at Publisher | View at Google Scholar - open letter for trasperency to the italy ministry of health , AIFA, Assobiotec Lettera aperta” Per la trasparenza , numero 08/2022 della rivista divulgativa “ND, Natura docet: la Natura insegna”, appello rivolto a Ministero della Salute, AIFA, Assobiotec in relazione a tecniche di produzione e controllo dei vaccini a m RNA
View at Publisher | View at Google Scholar - Nanomaterials (Basel). 2019 Mar 2019 Mar 3. doi: 10.3390/nano9030341 Raman ( RS) Imaging of Nanocarriers for Drug Delivery Sally Vanden-Hehir, William J. Tipping, Martin Lee, Valerie G. Brunton, Anna Williams, and Alison N. Hulme
View at Publisher | View at Google Scholar - Foreign Materials in Blood Samples of Recipients of COVID-19 Vaccines international Journal of Vaccine Theory, Practice, and Research 2(1), March 11, 2022
View at Publisher | View at Google Scholar - The most dangerous drugs ever unleashed on the human population in the history of medicine Brendan Godwin; 29th September 2021; Australian Bureau of Meteorology (Retired)
View at Publisher | View at Google Scholar - RSC Adv. 2019 Jun 17;9(32):18559-18564. doi: 10.1039/c9ra02076d. eCollection 2019 Jun 10.
View at Publisher | View at Google Scholar - Identification of graphene oxide and its structural features in solvents by optical microscopy Huailiang Xu , Zhikai Qi , Hongchang Jin , Jinxi Wang , Yan Qu , Yanwu Zhu , Hengxing Ji DOI: 10.1039/c9ra02076d
View at Publisher | View at Google Scholar - Journal of Molecular Liquids Volume 287, 1 August 2019, 110942 Solvent-induced changes in the graphene oxide absorption spectrum. The case of dimethylsulfoxide/water mixtures Vira Agieienko Vadim Neklyudov Ayrat Dimiev
View at Publisher | View at Google Scholar - Aggregation, Adsorption, and Morphological Transformation of Graphene Oxide in Aqueous Solutions Containing Different Metal Cations Kaijie Yang, Baoliang Chen, Xiaoying Zhu, and Baoshan Xing Environ. Sci. Technol. 2016, 50, 20, 11066–11075 September 23, 2016 https://doi.org/10.1021/acs.est.6b04235
View at Publisher | View at Google Scholar - British Journal of Healthcare and Medical Research - Vol.9,
View at Publisher | View at Google Scholar - Luisetto M, Ilman A, Khan FA, Edbey K, Hamid GA, et al. COVID-19 immunologic and toxicological implication: Innate immune sensor and immune escape. Arch Pharm Pharma Sci. 2021; 5: 001-017. DOI: 10.29328/journal.apps.1001025
View at Publisher | View at Google Scholar
Clinic