Case Report | DOI: https://doi.org/10.31579/2834-796X/114
Successful Management of Left Main Bifurcation Lesion Using Culottes Technique
- Faisal Ahmed *
- Saadia Abubakar
- Falaknaz Salari
Liaquat National Hospital and Medical College, Karachi-Pakistan
*Corresponding Author: Faisal Ahmed, Liaquat National Hospital and Medical College, Karachi-Pakistan.
Citation: Faisal Ahmed, Saadia Abubakar, Falaknaz Salari, (2025), Successful Management of Left Main Bifurcation Lesion Using Culottes
Technique, International Journal of Cardiovascular Medicine, 4(6); DOI:10.31579/2834-796X/114
Copyright: © 2025, Faisal Ahmed. This is an open access article distributed under the Creative Commons Attribution License, which permits
unrestricted use, distribution, and reproduction in any medium, provided the original work is properly cited
Received: 07 November 2025 | Accepted: 19 November 2025 | Published: 28 November 2025
Keywords: unstable angina; culottes; left main; bifurcating lesions; percutaneous coronary
Abstract
Introduction: In the realm of complex coronary bifurcating lesions, selecting an optimal treatment strategy poses
challenges that demand expertise. This case study presents a middle-aged male with unstable angina, successfully
undergoing percutaneous coronary intervention (PCI) using the Culottes technique.
Case Presentation: The patient, a middle-aged male, presented with unstable angina and was diagnosed with a
complex coronary bifurcating lesion. The lesion's intricate nature required careful consideration of the treatment
approach. Given the challenges associated with bifurcation lesions, a strategic intervention was essential to ensure
the best possible outcome.
Results: The patient underwent percutaneous coronary intervention (PCI) utilizing the Culottes technique. This
approach involves the use of two stents to treat both the main vessel and the side branch simultaneously. The
procedure was conducted successfully, resulting in symptom relief for the patient. Subsequent to the intervention,
the patient experienced a significant improvement in his condition, enabling him to resume his daily activities without
discomfort.
Conclusion: This case report emphasizes the intricacies of bifurcation lesion treatment and underscores Culottes as
a viable approach, encouraging improved patient outcomes and quality of life
Introduction
Introduction: The management of left main coronary artery (LMCA) bifurcation lesions in percutaneous coronary intervention (PCI) often involves stenting the main branch (MB) as the preferred approach, with selective stenting of the side branch (SB). Although this dual stenting strategy is employed in a minority of bifurcation procedures, various techniques have been developed for this purpose, including T and protrusion (TAP) stenting, culotte stenting, mini-crush, and double-kissing crush. A recent advancement in these techniques involves the innovative use of double-kissing balloons. This approach optimizes SB outcomes by introducing an additional kissing balloon dilation before MB stenting. The simultaneous inflation of two balloons prevents plaque shifting into the SB. This report showcases the successful management of an LMCA bifurcation lesion using the double- kissing culotte technique.
Case Presentation
A 56-year-old male with a known history of Ischemic Heart Disease presented with complaints of chest pain. The pain was centrally located and accompanied by a sensation of chest heaviness. Notably, it occurred upon walking short distances or climbing
stairs, significantly limiting his daily activities. The patient was a non-smoker and had no significant family history of ischemic heart disease. Reviewing his medical records, it was found that he underwent PCI procedures for the left anterior descending artery (LAD) and right coronary artery (RCA) nine years ago, as well as a PCI for the left circumflex artery (LCX) one and a half years ago. His electrocardiogram displayed diffuse ST depressions from V2 to V6 at rest. Echocardiography indicated an ejection fraction of 55% without any regional wall motion abnormalities. Troponin levels were within normal limits. A comprehensive physical examination yielded no remarkable findings. Diagnostic Assessment The angiographic assessment unveiled a true bifurcation lesion with a Medina 1,1,1 pattern involving the distal Left Main, Osteal LAD, and Osteal LCX, while the RCA exhibited no significant disease. Notably, the previously implanted stents in the LAD, LCX, and RCA remained patent. The diagnostic challenge revolved around safeguarding the side branch, necessitating a focused therapeutic strategy. This intricate presentation solidified the diagnosis of a left main bifurcation lesion, leading to the deliberate selection of the Culottes technique for the ensuing therapeutic intervention.

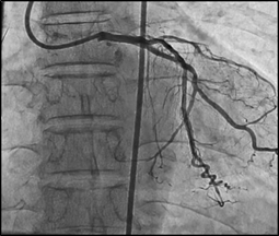
Figure 1: Successful PCI of Left
Therapeutic Intervention: Given the complexity of the bifurcation lesion and the imperative to preserve the side branch, the Culottes technique was skillfully employed for the percutaneous coronary intervention (PCI). Using an XB3.5 guide catheter, precise wiring and predilation were performed on both the Left Anterior Descending (LAD) and Left Circumflex (LCX) arteries. A strategic sequence of steps ensued, the stent was initially deployed in the angulated side branch (LCX) with simultaneous wire jailing of LAD. Subsequently, the LCX wire was withdrawn, LAD was rewired, and careful dilation of struts facing the LAD ostium was executed. The deployment of the stent from the left main to LAD followed, accompanied by the first post-dilation (POT). The LCX was then rewired through the struts connecting the left main to LCX and left main to LAD. Concurrent balloon inflation was meticulously conducted, culminating in the final POT. Upon completing the final POT, the balloon was tactfully pulled back to allow partial placement in the aorta, facilitating the flaring of the stent. This meticulous and intricate intervention protocol effectively addressed the challenging bifurcation lesion while safeguarding the side branch.
Follow-Up and Outcomes:Four months have transpired since the patient's intervention on March 23, during which sustained freedom from symptoms was observed following the PCI. Notably, the patient resumed his routine activities unhindered by any limitations. Subsequent exercise tolerance testing (ETT) conducted during follow-up showcased promising results; the patient exhibited the capacity to walk for 7.5 minutes (equivalent to 8 METS) without experiencing any alterations in blood pressure, ST- T patterns on electrocardiogram (ECG), or symptomatic manifestations. The patient demonstrated commendable adherence to the prescribed medical regimen and lifestyle adjustments, as advised upon discharge. Adverse events were notably absent, affirming the favorable outcomes of the Culottes technique from both clinical and patient perspectives.
Discussion
Among the array of advanced techniques utilized for percutaneous coronary intervention (PCI) of bifurcating lesions, the Culottes technique has emerged with promising outcomes. A study involving 50 patients with bifurcating lesions showcased exceptional short-term results through the implementation of the Culottes technique1. This technique was further evaluated in a study involving 424 patients with bifurcation lesions, who were randomized to undergo stenting of both the main vessel and the side branch using either the crush or Culottes technique, and were followed for 36 months2. The primary endpoint, composed of major adverse cardiac events such as cardiac death, myocardial infarction, stent thrombosis, or target vessel revascularization, showed comparable clinical outcomes in both groups at the 36-month mark.
In another randomized controlled trial encompassing 300 patients with coronary bifurcation lesions necessitating side-branch stenting, the Culottes technique was compared to TAP stenting. This investigation revealed that the Culottes technique was associated with a notably reduced incidence of
angiographic restenosis3. Moreover, a comparative study juxtaposing the Culottes technique with T stenting found that the Culottes approach exhibited superior immediate angiographic outcomes at the side branch ostium and more favorable clinical results at the 9-month mark4.
Collectively, these findings underscore the efficacy and advantages of the Culottes technique in managing bifurcation lesions during PCI.
Conclusion: This case report serves as a notable testament to the proficiency of the Culottes technique in effectively addressing left main bifurcation lesions. The pivotal takeaway from this study lies in the substantial clinical advantages garnered from opting for the Culottes technique as the preferred intervention strategy.
Learning points
The Culottes technique yields optimal results in left main bifurcation lesions.
Detailed diagnostic assessment is crucial for informed therapeutic decisions.
Adherence to therapeutic interventions and appropriate follow-up enhance patient outcomes.
Funding:
The author(s) received no specific funding for this work.
Conflicts of Interests:
The authors have declared that no competing interests exist.
References
- Chevalier B, Glatt B, Royer T, Guyon P. Placement of coronary stents in bifurcation lesions by the “culotte” technique. Am J cardiol. 1998;82(8):943- 949.
View at Publisher | View at Google Scholar - Kervinen K, Niemelä M, Romppanen H, Erglis A, Kumsars I, Maeng M, Holm NR, Lassen JF, Gunnes P, Stavnes S, Jensen JS. Clinical outcome after crush versus culotte stenting of coronary artery bifurcation lesions: the Nordic Stent Technique Study 36-month follow-up results. JACC: Cardiovasc Interv. 2013;6(11):1160-1165.
View at Publisher | View at Google Scholar - Ferenc M, Gick M, Comberg T, Rothe J, Valina C, Toma A, Löffelhardt N, Hochholzer W, Riede F, Kienzle RP, Achtari A. Culotte stenting vs. TAP stenting for treatment of de-novo coronary bifurcation lesions with the need for side-branch stenting: the Bifurcations Bad Krozingen (BBK) II angiographic trial. Eur heart J. 2016;37(45):3399- 3405.
View at Publisher | View at Google Scholar - Kaplan S, Barlis P, Dimopoulos K, La Manna A, Goktekin O, Galassi A, Tanigawa J, Di Mario C. Culotte versus T-stenting in bifurcation lesions: immediate clinical and angiographic results and midterm clinical follow-up. Am heart J. 2007;154(2):336-343.
View at Publisher | View at Google Scholar
Clinic